Invisalign
Are you tired of hiding your smile because of crooked or misaligned teeth? Invisalign may be the solution for you! Invisalign is a clear and discreet orthodontic treatment that can straighten your teeth without the need for traditional metal braces.
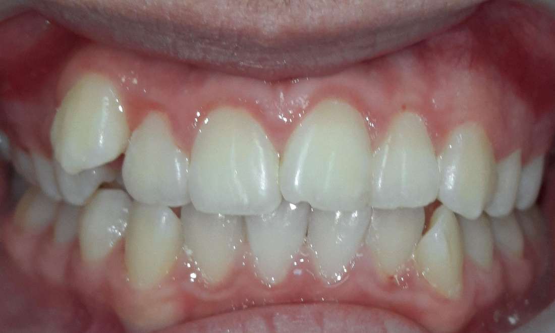
But don't just take our word for it! Check out these amazing before and after images to see the incredible transformation that our patient achieved with Invisalign.
Our team of experienced Invisalign providers will work with you to create a personalized treatment plan that meets your unique needs and goals. With Invisalign, you can enjoy a comfortable and convenient treatment experience that fits seamlessly into your lifestyle.
So why wait? Take the first step towards a beautiful, straighter smile today by scheduling a consultation with our Invisalign experts. See the difference for yourself and join the millions of satisfied Invisalign patients who have transformed their smiles and their lives.
 
 
Thanks - We received your message and someone from our office will be contacting you shortly.
Thanks - We received your message and someone from our office will be contacting you shortly.