Drag the arrows back and forth to view complete Before and After views
 
 
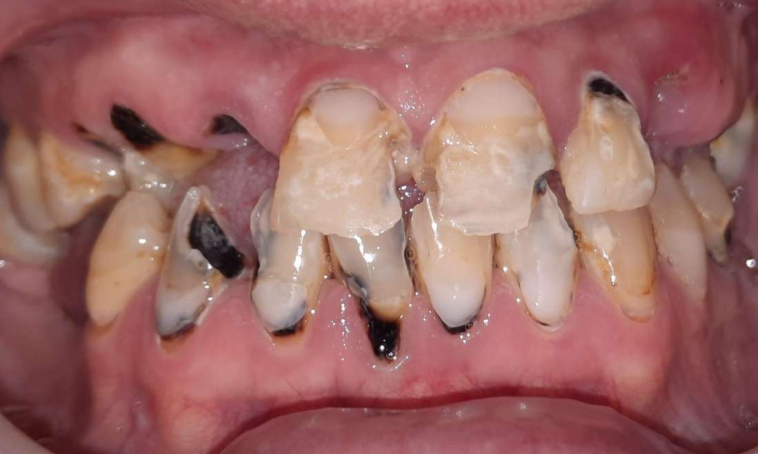
Dental extractions, crowns, bridges, and dental implants that result in a stunning transformation.
Our skilled team provides personalized care, seamlessly integrating lifelike restorations and implants. Witness the magic of a radiant smile that exudes confidence and leaves a lasting impression.
Embark on your own transformation today and redefine your smile and your life.
 
 
Thanks - We received your message and someone from our office will be contacting you shortly.
Thanks - We received your message and someone from our office will be contacting you shortly.